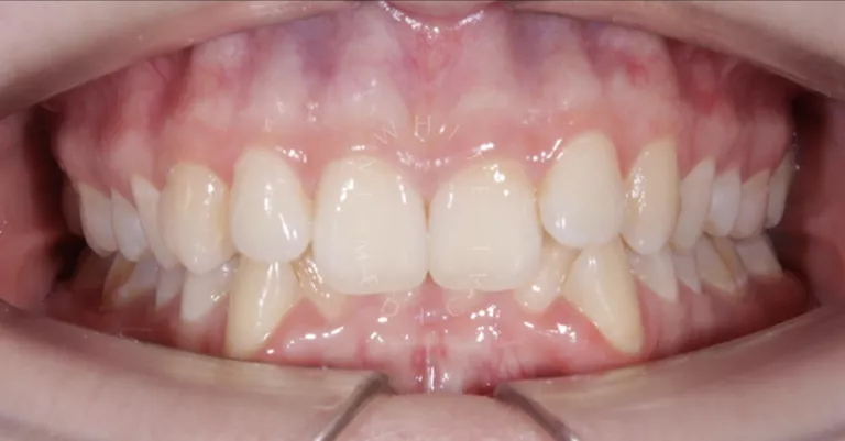
Лечение на брекет-системе

О работе
Лечение на брекет-системе
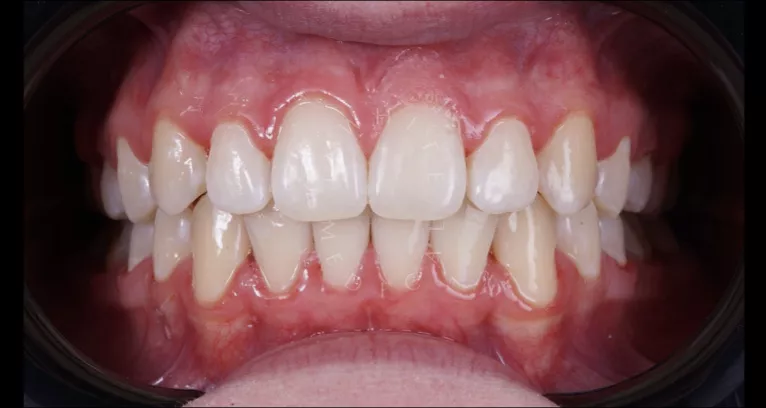
Результат


ДоПосле
Записаться
на прием

Портфолио
08/21