ВЕРСИЯ ДЛЯ СЛАБОВИДЯЩИХ
 Лечение во сне

Лечение во сне

Лечение во сне

Направления лечения

Об услуге

Лечение во сне
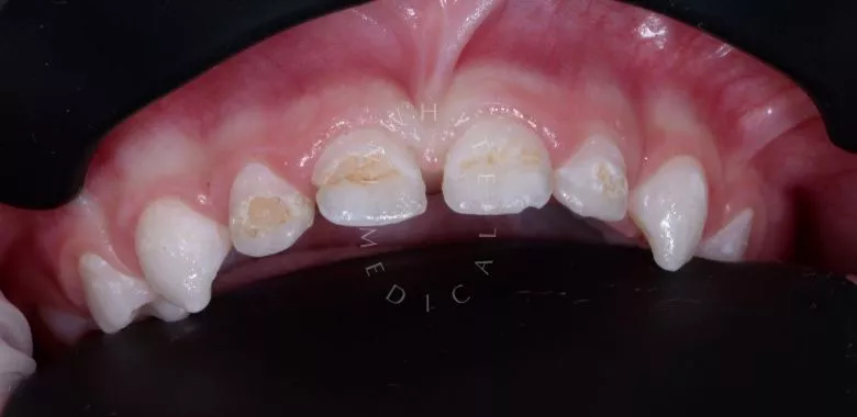
Лечение зубов во сне — это проведение стоматологических процедур у ребёнка под общей анестезией или глубокой седацией, когда малыш не ощущает боли и почти не испытывает стресса. Процедуры выполняет детский стоматолог под контролем анестезиолога в оснащённой клинике с тщательным мониторингом дыхания и жизненных функций. После вмешательства ребёнок просыпается в уютной палате восстановления и остаётся под наблюдением до полной стабилизации.

Команда

-- / --
Антошкина Татьяна Анатольевна

  • Анестезиология
Бабак Алина Валерьевна

  • Детская стоматология
Добровольский Александр Энриевич

  • Анестезиология
Евазов Аслан Русланович

  • Детская стоматология
Крючков Михаил Александрович

  • Анестезиология
Милишникова Ольга Романовна

  • Детская стоматология
Овчинников Серафим Витальевич

  • Анестезиология
Орловская Олеся Сергеевна

  • Детская стоматология
Симакова Марина Владимировна

  • Анестезиология
Синкина Зоя Владимировна

  • Детская стоматология
Сорокина Татьяна Евгеньевна

  • Анестезиология
Стрельникова Серафима Алексеевна

  • Детская стоматология
Стрыгина Татьяна Владимировна

  • Анестезиология
Сысоева Юлия Евгеньевна

  • Детская стоматология
Фоменко Юлия Евгеньевна

  • Детская стоматология
Харисов Александр Ирекович

  • Анестезиология
Цаллаева Диана Таймуразовна

  • Детская стоматология
Цыреторова Ольга Александровна

  • Детская стоматология
Щаницына Екатерина Геннадьевна

  • Детская стоматология

Статьи

-- / --

Записаться
на прием

Запись в Inwhite Medical