Работы врачей детской стоматологии премиум-класса Inwhite Medical Kids
До
После
Санация полости рта в условиях наркоза
Цыреторова
Ольга Александровна
До
После
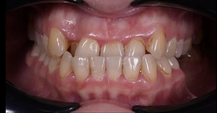
Лечение на элайнерах
Каганова
Олеся Сергеевна
До
После
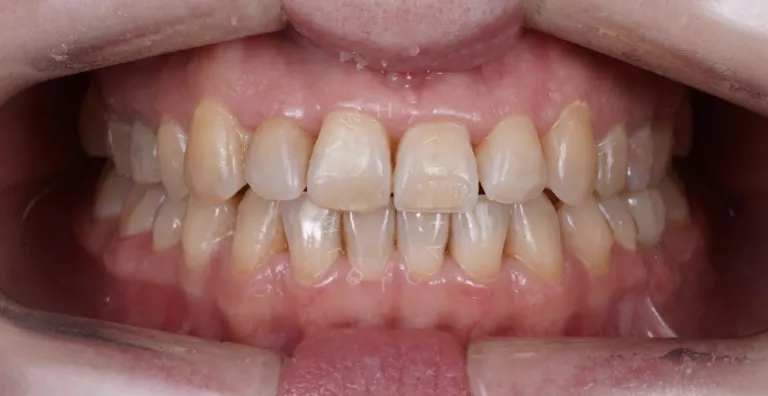
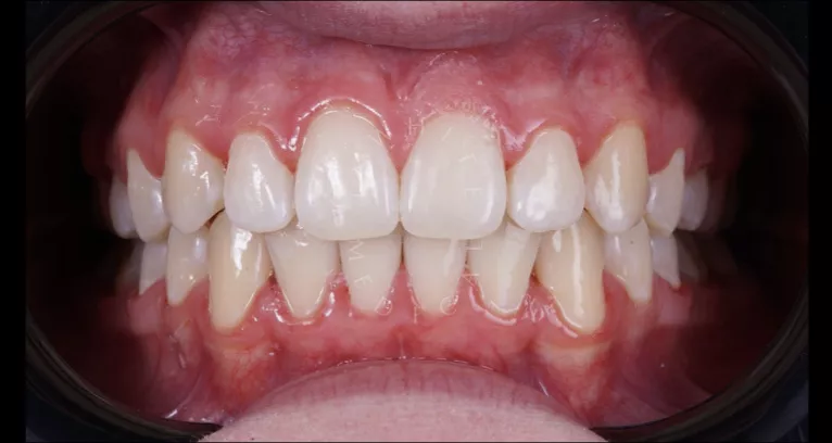
Лечение на брекет-системе
Каганова
Олеся Сергеевна
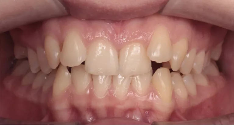
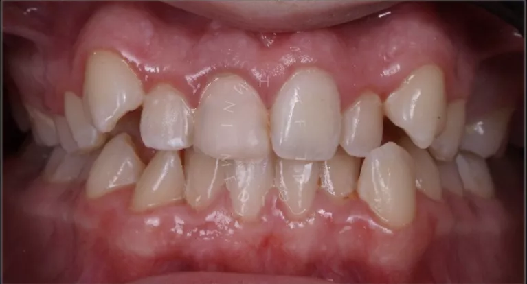
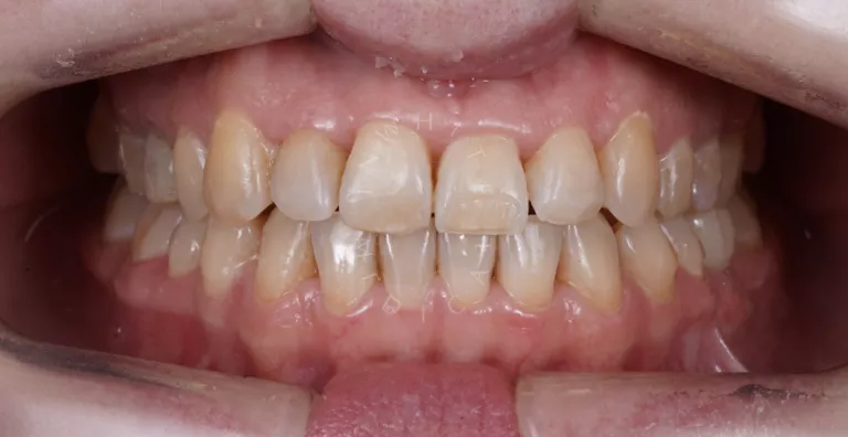
До
После
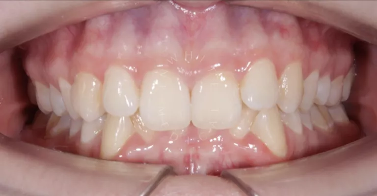
Лечение на брекет-системе
Каганова
Олеся Сергеевна
До
После
Лечение на элайнерах
Каганова
Олеся Сергеевна
До
После
Профессиональная гигиена
Кленкина
Ирина
До
После
Профессиональная гигиена
Кленкина
Ирина
До
После
Профессиональная гигиена у ребенка
Кленкина
Ирина
1
2
Остались вопросы?
Задайте их основателю клиники.