Санация полости рта в условиях наркоза
О работе
Санация полости рта в условиях наркоза
Результат
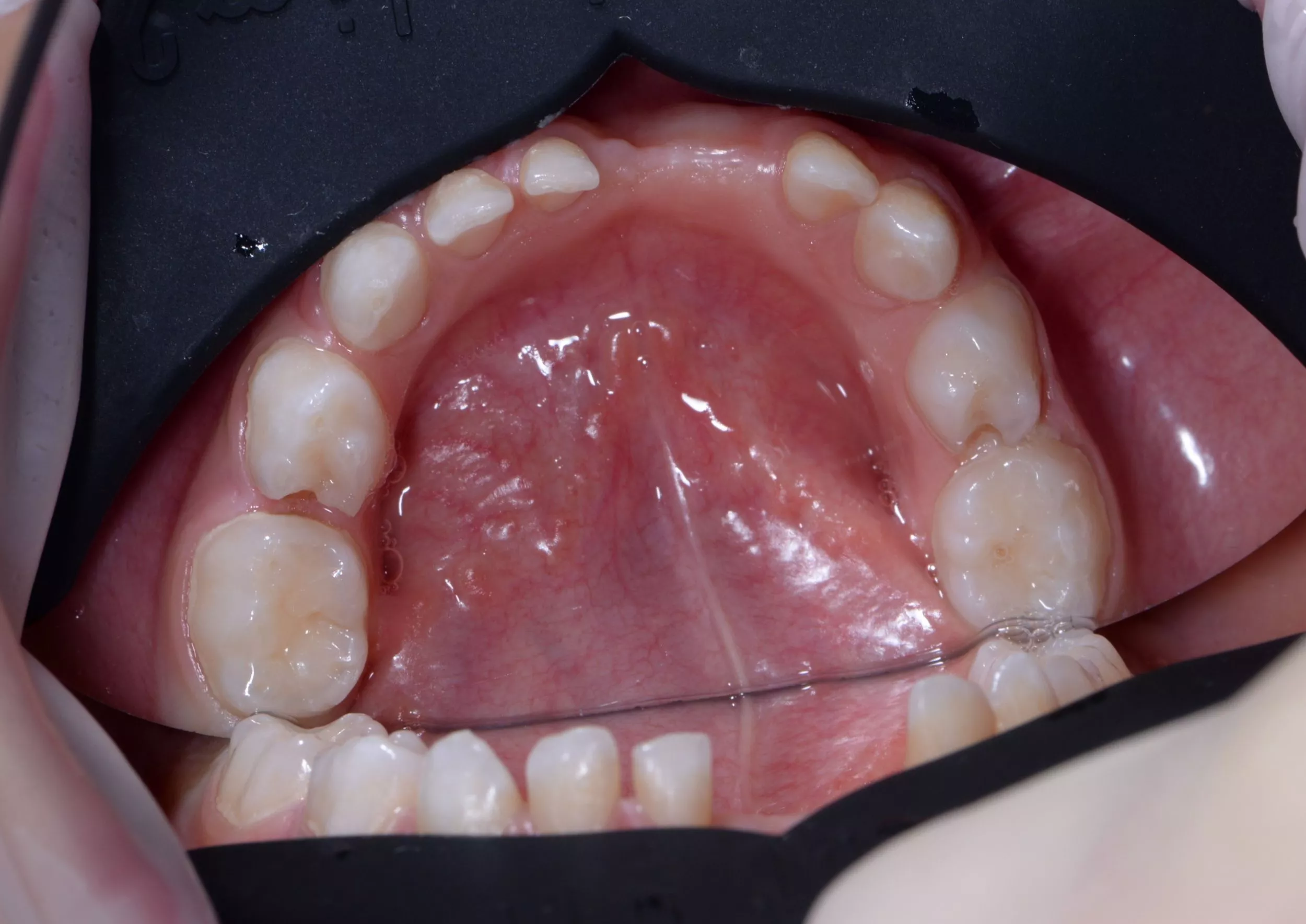
До
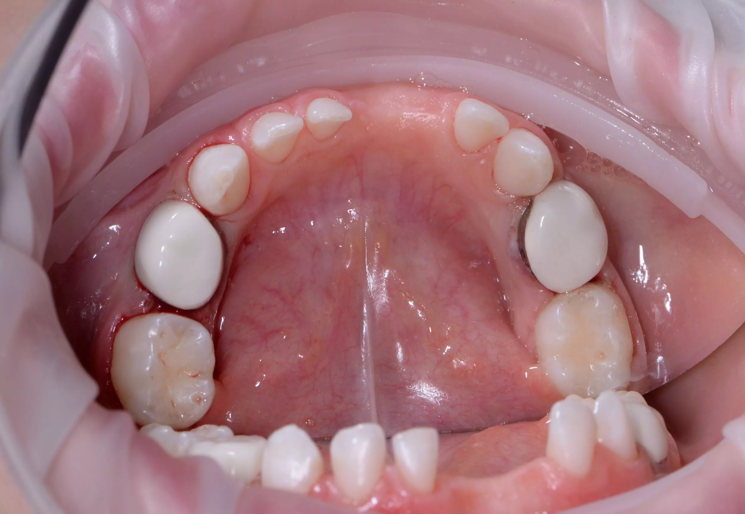
После
Записаться
на прием
Портфолио
08/21









































