ВЕРСИЯ ДЛЯ СЛАБОВИДЯЩИХ

Восстановление зубов пломбировочным материалом и лечение во сне

етская стоматология под наркозом Москва. Восстановление зубов пломбировочным материалом и лечение во сне

О работе

Восстановление зубов пломбировочным материалом и лечение во сне

Результат

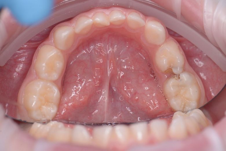
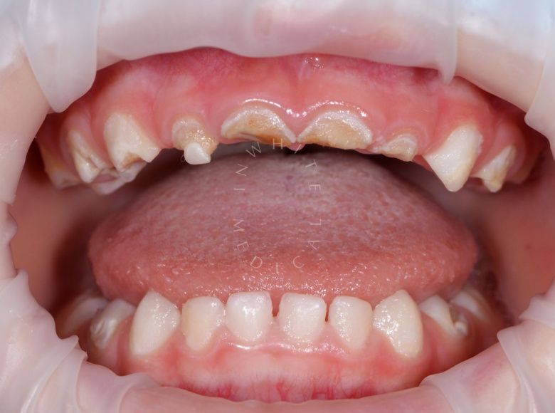
етская стоматология под наркозом Москва. Восстановление зубов пломбировочным материалом и лечение во сне - до процедуры
етская стоматология под наркозом Москва. Восстановление зубов пломбировочным материалом и лечение во сне - после процедуры
До После

Цены

Восстановление зуба пломбой с использованием материала Fuji (1 поверхность) (повышенной сложности) / А16.07.002.208

5 670 ₽

Восстановление зуба пломбой с использованием материала Fuji (2 поверхности) (повышенной сложности) / А16.07.002.209

7 540 ₽

Восстановление зуба пломбой с использованием материала Fuji (3 поверхности) (повышенной сложности) / А16.07.002.210

9 440 ₽

Восстановление зуба пломбой после эндодонтического лечения (повышенной сложности) / А16.07.002.107

13 370 ₽

Наложение временной пломбы (использование материала Биодентин при лечении пульпита) (повышенной сложности) / A16.07.002.009.101

9 570 ₽

Наложение временной пломбы (лечение пульпита молочного зуба биологическим методом без восстановления коронковой части (обратимый пульпит) (повышенной / A16.07.002.009.102

13 370 ₽

Пломбирование корневого канала зуба (лечение необратимого пульпита молочного зуба без восстановления коронковой части (жевательная группа)) (повышенно / А16.07.009.102

20 630 ₽

Пломбирование корневого канала зуба (лечение необратимого пульпита молочного зуба без восстановления коронковой части (фронтальная группа) (повышенной / А16.07.009.101

15 240 ₽

Восстановление зуба пломбой с использованием материала Fuji (1 поверхность) / А16.07.002.108

4 730 ₽

Восстановление зуба пломбой с использованием материала Fuji (2 поверхности) / А16.07.002.109

6 300 ₽

Восстановление зуба пломбой с использованием материала Fuji (3 поверхности) / А16.07.002.110

7 870 ₽

Наложение временной пломбы (использование материала Биодентин при лечении пульпита) / A16.07.002.009.001

7 990 ₽

Пломбирование корневого канала зуба (лечение необратимого пульпита молочного зуба без восстановления коронковой части (жевательная группа)) / А16.07.009.002

17 180 ₽

Пломбирование корневого канала зуба (лечение необратимого пульпита молочного зуба без восстановления коронковой части (фронтальная группа)) / А16.07.009.001

12 710 ₽

Наложение временной пломбы (лечение пульпита молочного зуба биологическим методом без восстановления коронковой части (обратимый пульпит) / A16.07.002.009.002

11 130 ₽

Восстановление временного зуба коронкой (лечение кариеса с установкой металлической коронки) (повышенной сложности) / A16.07.004.105

23 960 ₽

Восстановление временного зуба коронкой (лечение кариеса с установкой металлокомпозитной коронки (жевательный зуб)) (повышенной сложности) / A16.07.004.106

23 960 ₽

Восстановление временного зуба коронкой (лечение кариеса с установкой циркониевой коронки (жевательный зуб)) (повышенной сложности) / A16.07.004.109

36 740 ₽

Восстановление временного зуба коронкой (лечение кариеса с установкой циркониевой коронки (фронтальный зуб)) (повышенной сложности) / A16.07.004.110

30 490 ₽

Восстановление временного зуба коронкой (лечение кариеса с установкой металлокомпозитной коронки (фронтальный зуб)) (повышенной сложности) / A16.07.004.107

22 110 ₽

Восстановление временного зуба коронкой с помощью металлической коронки (повышенной сложности) / A16.07.004.102

15 250 ₽

Восстановление временного зуба коронкой с помощью металлокомпозитной коронки (повышенной сложности) / A16.07.004.108

15 970 ₽

Восстановление временного зуба коронкой с помощью циркониевой коронки (жевательный зуб) (повышенной сложности) / A16.07.004.104

28 750 ₽

Восстановление временного зуба коронкой с помощью циркониевой коронки (фронтальные зубы)(повышенной сложности) / A16.07.004.101

19 170 ₽

Восстановление зуба пломбой (молочный зуб; 1 поверхность) (повышенной сложности) / А16.07.002.200

8 710 ₽

Восстановление зуба пломбой (молочный зуб; 2 поверхности) (повышенной сложности) / А16.07.002.201

10 450 ₽

Восстановление зуба пломбой (молочный зуб; 3 и более поверхности) (повышенной сложности) / А16.07.002.202

14 410 ₽

Восстановление зуба пломбой (фиксация отломка коронковой части зуба) (повышенной сложности) / А16.07.002.206

19 600 ₽

Восстановление постоянного зуба коронкой с помощью металлической коронки (повышенной сложности) / A16.07.004.103

23 230 ₽

Запечатывание фиссуры зуба герметиком (временный зуб) (повышенной сложности) / А16.07.057.102

5 810 ₽

Запечатывание фиссуры зуба герметиком (постоянный зуб) (повышенной сложности) / А16.07.057.101

9 440 ₽

Восстановление временного зуба коронкой с помощью металлокомпозитной коронки / A16.07.004.008

13 310 ₽

Восстановление временного зуба коронкой с помощью циркониевой коронки (жевательный зуб) / A16.07.004.004

23 960 ₽

Восстановление временного зуба коронкой с помощью циркониевой коронки (фронтальные зубы) / A16.07.004.001

15 970 ₽

Восстановление временного зуба коронкой с помощью металлической коронки / A16.07.004.002

12 710 ₽

Восстановление постоянного зуба коронкой с помощью металлической коронки / A16.07.004.003

19 360 ₽

Запечатывание фиссуры зуба герметиком (временный зуб) / А16.07.057.002

4 840 ₽

Запечатывание фиссуры зуба герметиком (постоянный зуб) / А16.07.057.001

7 870 ₽

Восстановление зуба пломбой (молочный зуб; 1 поверхность) / А16.07.002.100

7 260 ₽

Восстановление зуба пломбой (молочный зуб; 2 поверхности) / А16.07.002.101

8 710 ₽

Восстановление зуба пломбой (молочный зуб; 3 и более поверхности) / А16.07.002.102

11 980 ₽

Восстановление временного зуба коронкой (лечение кариеса с установкой металлической коронки) / A16.07.004.005

19 970 ₽

Восстановление временного зуба коронкой (лечение кариеса с установкой металлокомпозитной коронки (жевательный зуб)) / A16.07.004.006

19 970 ₽

Восстановление временного зуба коронкой (лечение кариеса с установкой металлокомпозитной коронки (фронтальный зуб)) / A16.07.004.007

18 390 ₽

Восстановление временного зуба коронкой (лечение кариеса с установкой циркониевой коронки (жевательный зуб)) / A16.07.004.009

30 610 ₽

Восстановление временного зуба коронкой (лечение кариеса с установкой циркониевой коронки (фронтальный зуб)) / A16.07.004.010

25 410 ₽

Удаление временного зуба (повышенной сложности) / А16.07.001.001.101

5 080 ₽

Удаление временного зуба (сложное; 2 категории) / А16.07.001.001.102

8 710 ₽

Удаление временного зуба (простое) / А16.07.001.001.001

4 240 ₽

Удаление временного зуба (сложное) / А16.07.001.001.002

7 260 ₽

Записаться
на прием

Евазов Аслан Русланович

Портфолио

Назад в работы