Кленкина
Ирина

Информация
Гигиена
Более 5 лет
2020г. — Федеральное государственное бюджетное образовательное учреждение высшего образования «Московский государственный медико-стоматологический университет им. А.И. Евдокимова» Министерства Здравоохранения Российской Федерации, программа среднего профессионального образования, специальность «Стоматология профилактическая», квалификация «Гигиенист стоматологический»
2021г. — Образовательное частное учреждение среднего профессионального образования «Стоматологический колледж № 1», программа первичной аккредитации, специальность «Стоматология профилактическая»
Ирина — специалист профилактической стоматологии.
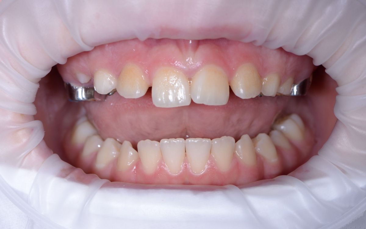
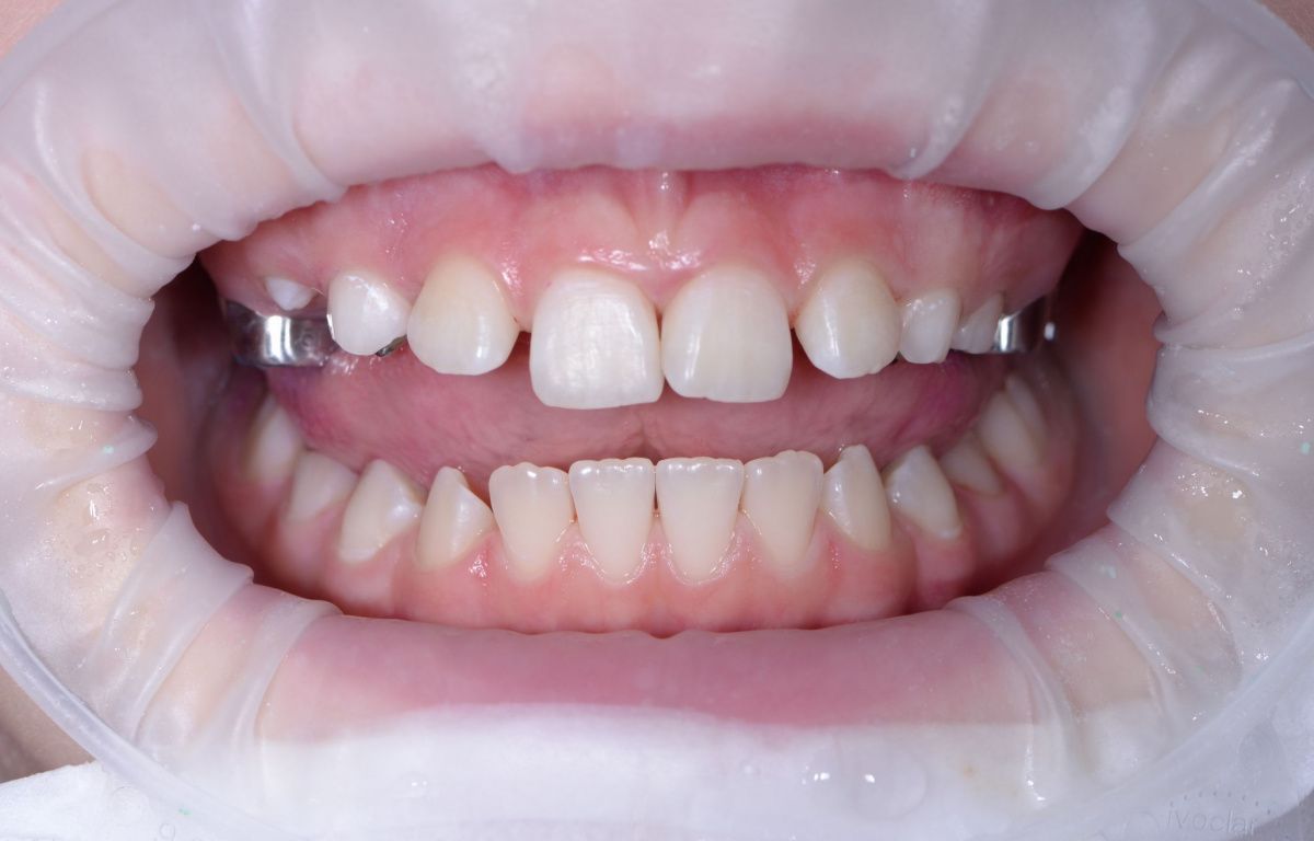
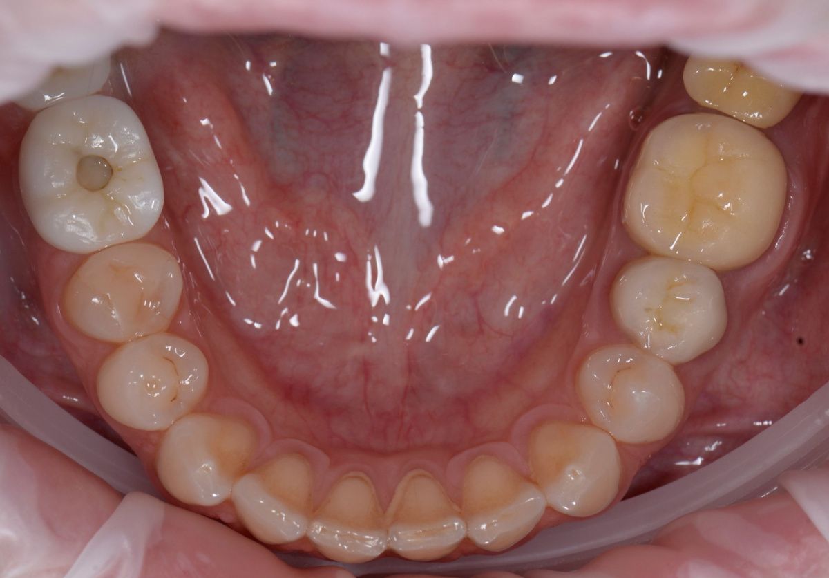
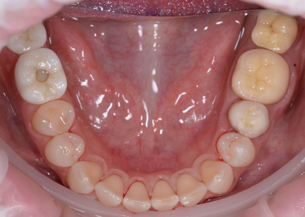
Специализируется на проведении процедуры профессиональной гигиены полости рта, удалении с зубов налета и камня, подбирает средства гигиены, проводит реминерализацию эмали.
Специалист регулярно повышает квалификацию, посещает семинары и конференции, а также проходит практические курсы.
Ирина — победитель в рейтинге стоматологов-гигиенистов Москвы в 2020г.
Услуги
- Диагностика с помощью ИИ Diagnocat
- Школа психологической профилактики для пациентов и родственников (адаптационный прием) (повышенной сложности)
- Приём (осмотр, консультация) детского стоматолога первичный повышенной сложности
- Школа психологической профилактики для пациентов и родственников (адаптационный прием)
- Профессиональная гигиена
- Обучение гигиене полости рта и зубов
- Фторирование эмали зубов
- Реминерализующая терапия
- Профессиональной гигиены полости рта (снятие мягких и твердых наддесневых отложений с ремотерапией (временный прикус)) (повышенной сложности)
- Профессиональной гигиены полости рта (снятие мягких и твердых наддесневых отложений с ремотерапией (сменный прикус)) ( повышенной сложности)
Полезная информация
01 / 03 / 2023
Скриншот
Кленкина
Иринӑ
26 / 07 / 2022
Скриншот
Кленкина
Иринӑ
13 / 07 / 2022
Скриншот
Кленкина
Иринӑ
на прием





























