ВЕРСИЯ ДЛЯ СЛАБОВИДЯЩИХ

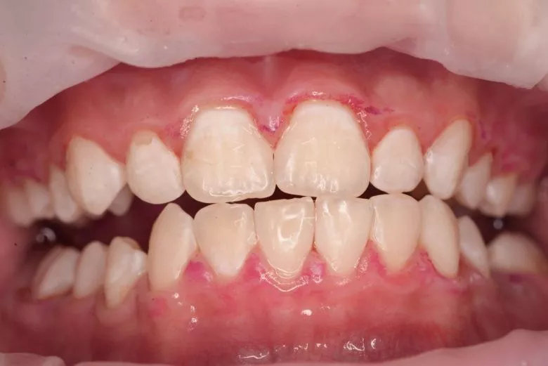
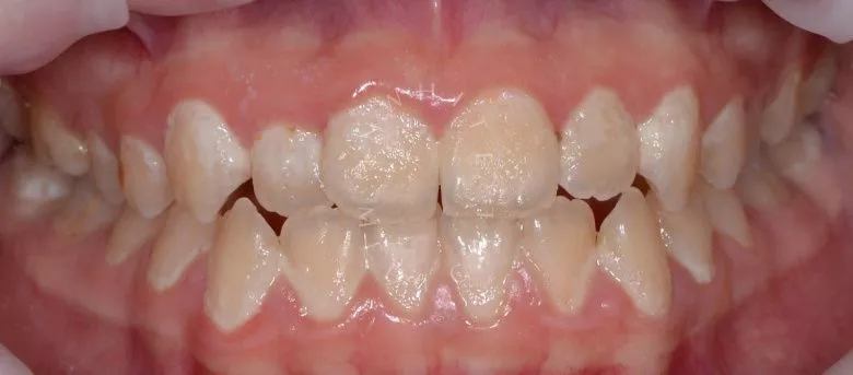
Профессиональная гигиена нижних зубов

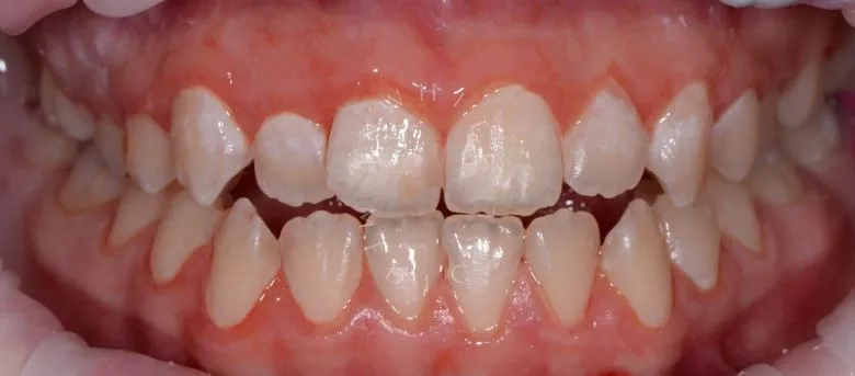
Лучшие детские стоматологии в Москве. Профессиональная гигиена нижних зубов

О работе

Профессиональная гигиена нижних зубов

Результат

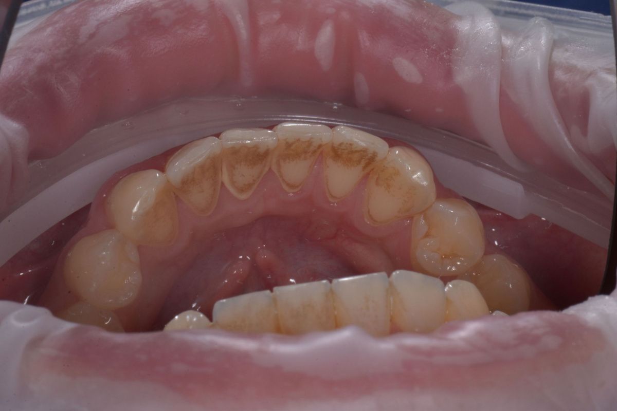
Лучшие детские стоматологии в Москве. Профессиональная гигиена нижних зубов - до процедуры
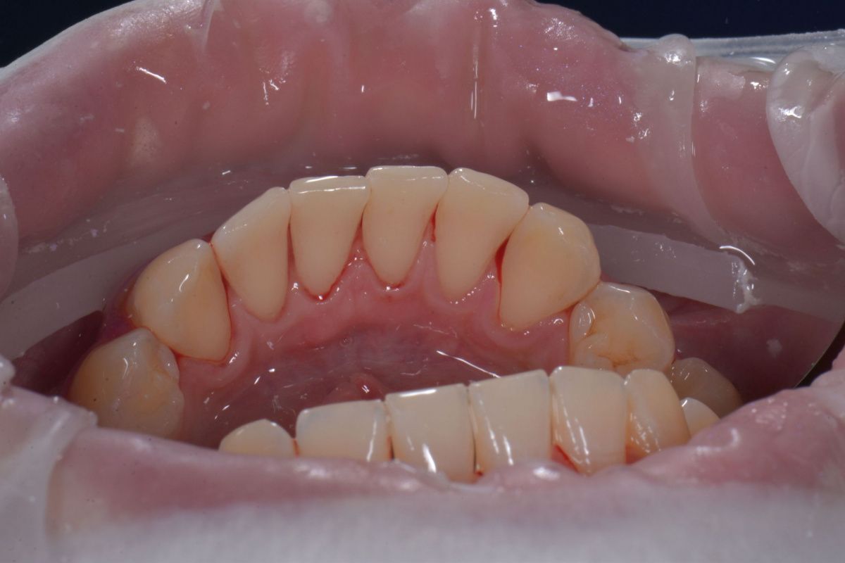
Лучшие детские стоматологии в Москве. Профессиональная гигиена нижних зубов - после процедуры
До После

Записаться
на прием

Надеева Наталья

Портфолио

Назад в работы