ВЕРСИЯ ДЛЯ СЛАБОВИДЯЩИХ

Гигиена зубов в сменном прикусе

етская стоматология лечение под наркозом. Гигиена зубов в сменном прикусе

О работе

Гигиена зубов в сменном прикусе

Результат

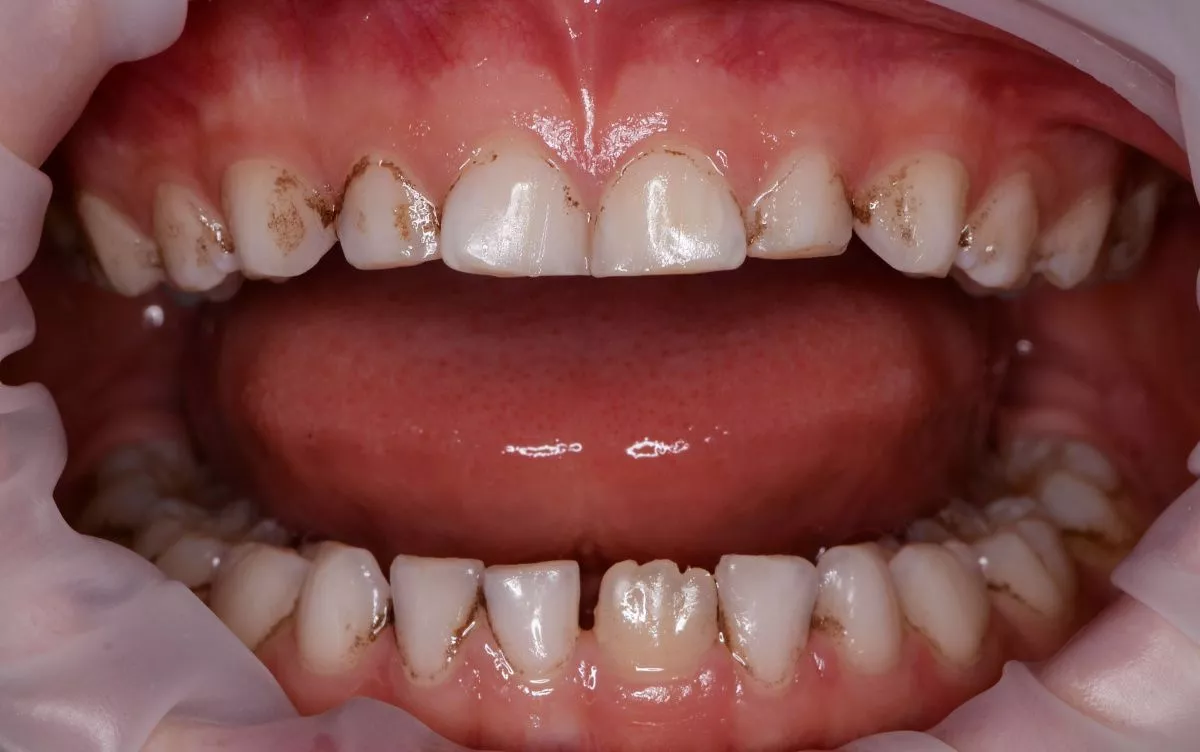
етская стоматология лечение под наркозом. Гигиена зубов в сменном прикусе - до процедуры
етская стоматология лечение под наркозом. Гигиена зубов в сменном прикусе - после процедуры
До После

Записаться
на прием

Сысоева Юлия Евгеньевна

Портфолио

Назад в работы