ВЕРСИЯ ДЛЯ СЛАБОВИДЯЩИХ

Профессиональная гигиена зубов детям

етская стоматология под наркозом Москва. Профессиональная гигиена зубов детям

О работе

Профессиональная гигиена зубов детям

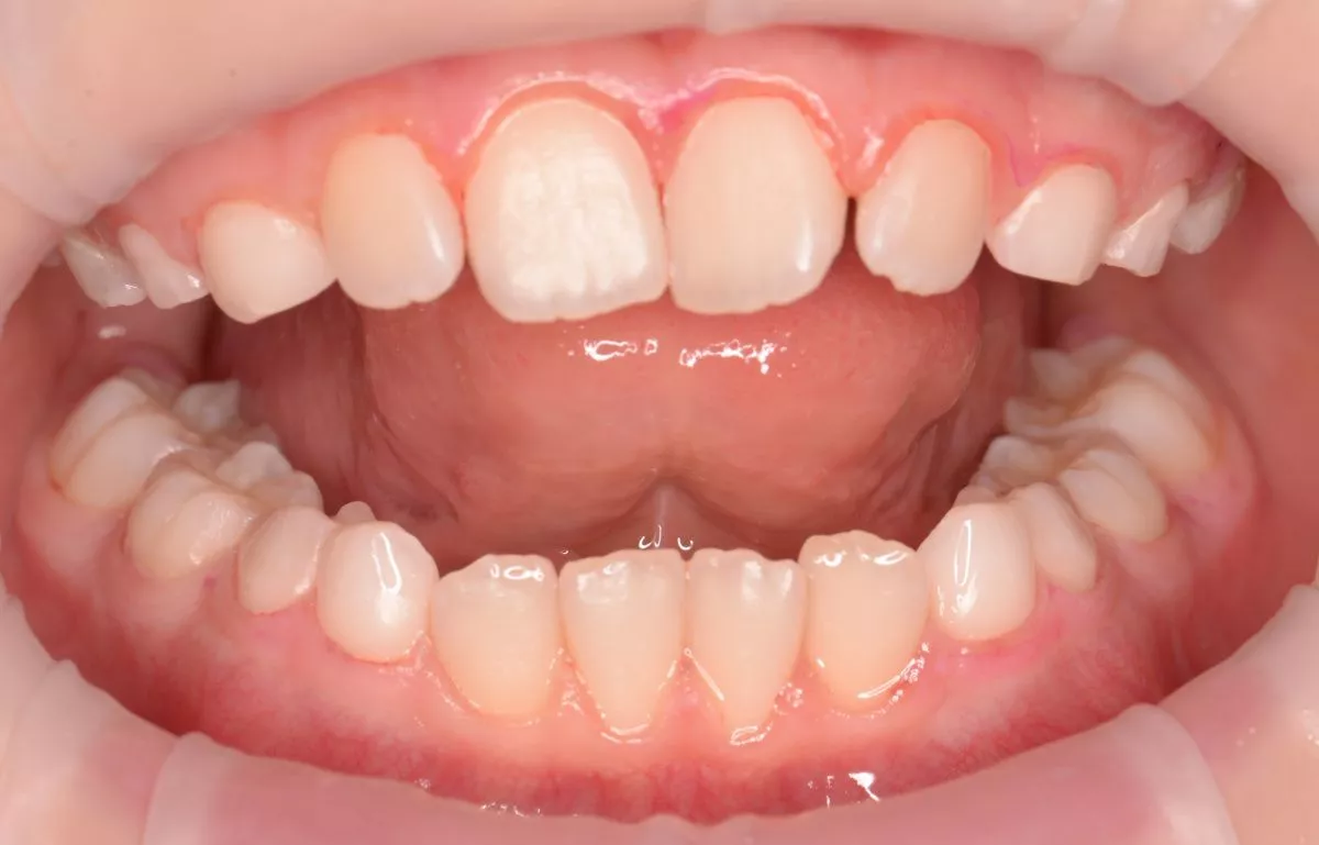
Результат

етская стоматология под наркозом Москва. Профессиональная гигиена зубов детям - до процедуры
етская стоматология под наркозом Москва. Профессиональная гигиена зубов детям - после процедуры
До После

Записаться
на прием

Евазов Аслан Русланович

Портфолио

Назад в работы