ВЕРСИЯ ДЛЯ СЛАБОВИДЯЩИХ

Профессиональная гигиена для детей

етская стоматология лечение под наркозом. Профессиональная гигиена для детей

О работе

Профессиональная гигиена для детей

Результат

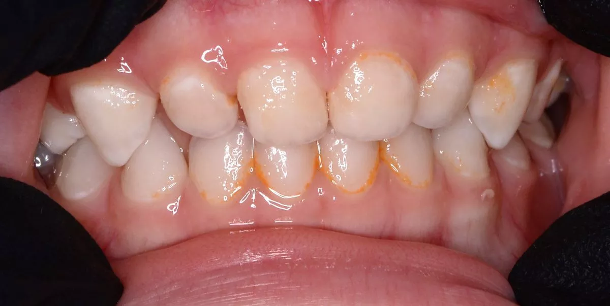
етская стоматология лечение под наркозом. Профессиональная гигиена для детей - до процедуры
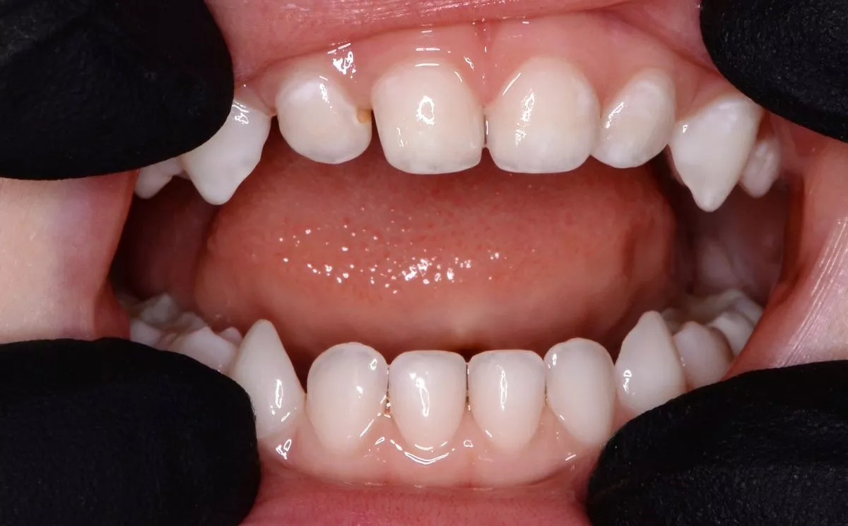
етская стоматология лечение под наркозом. Профессиональная гигиена для детей - после процедуры
До После

Записаться
на прием

Сысоева Юлия Евгеньевна

Портфолио

Назад в работы