ВЕРСИЯ ДЛЯ СЛАБОВИДЯЩИХ

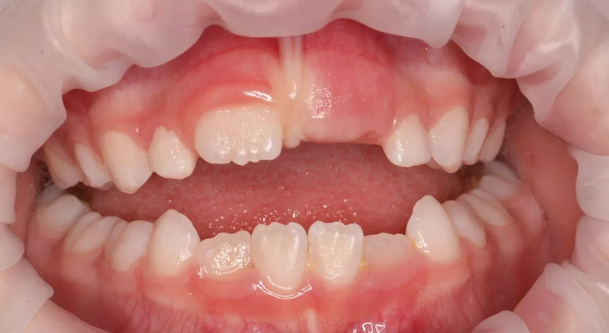
Профессиональная гигиена зубов у детей

етская стоматология под наркозом Москва. Профессиональная гигиена зубов у детей

О работе

Профессиональная гигиена зубов у детей

Результат

етская стоматология под наркозом Москва. Профессиональная гигиена зубов у детей - до процедуры
етская стоматология под наркозом Москва. Профессиональная гигиена зубов у детей - после процедуры
До После

Записаться
на прием

Евазов Аслан Русланович

Портфолио

Назад в работы