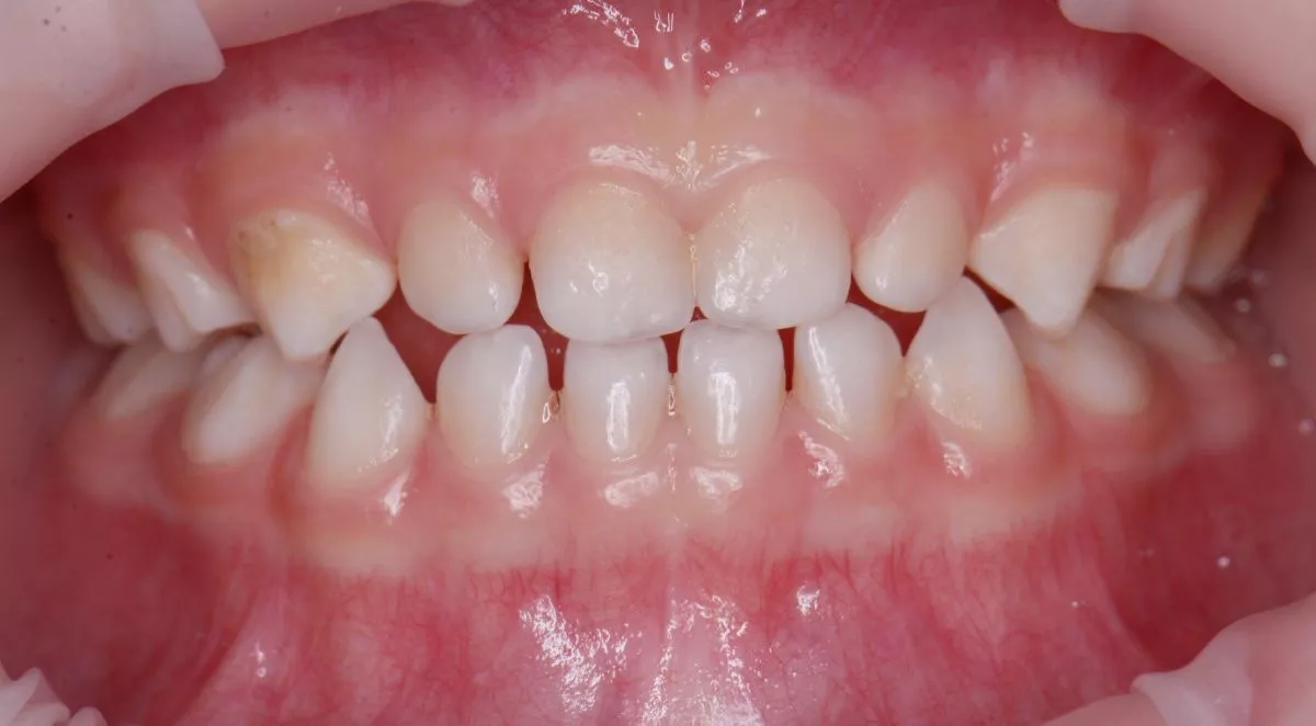
Гигиена в сменном прикусе у детей
О работе
Гигиена в сменном прикусе у детей
Результат
Цены
Профессиональной гигиены полости рта (снятие мягких и твердых наддесневых отложений с ремотерапией (временный прикус)) (повышенной сложности) / А16.07.051.108
5 150 ₽
Профессиональной гигиены полости рта (снятие мягких и твердых наддесневых отложений с ремотерапией (сменный прикус)) ( повышенной сложности) / А16.07.051.109
7 660 ₽
Записаться
на прием